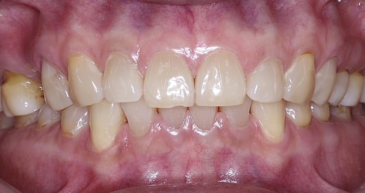
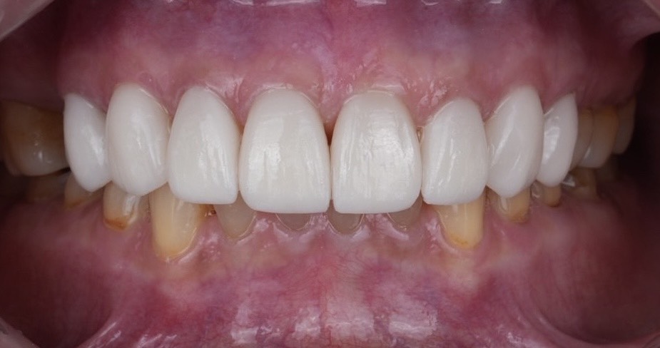
คณะทันตแพทยศาสตร์ มหาวิทยาลัยเชียงใหม่ ขอแสดงความยินดีกับ ทพญ.ศิณีนาฏ สุทธินวล นักศึกษาระดับบัณฑิตศึกษา สาขาทันตกรรมประดิษฐ์และรากเทียมดิจิทัล
ในโอกาสได้รับ รางวัลรองชนะเลิศอันดับ 2 จากการประกวด Esthetic Ceramic Case Competition หมวด Vintage Prime Press
โดยมีอาจารย์ที่ปรึกษา คือ
• ผศ.ทพญ. ภัทริกา อังกสิทธิ์
• อ.ทพ. ลภน มุทธาพงศ์
การประกวดจัดขึ้นภายในงานประชุมวิชาการประจำปี
ของสมาคมทันตแพทย์เอกชนแห่งประเทศไทย
ภายใต้หัวข้อ “Level Up Your Practice Part II”
ความสำเร็จในครั้งนี้เป็นอีกหนึ่งความภาคภูมิใจของ คณะทันตแพทยศาสตร์ มหาวิทยาลัยเชียงใหม่ ที่สะท้อนถึงความมุ่งมั่น ความละเอียดในทุกขั้นตอน และศักยภาพของนักศึกษา ในการพัฒนาตนเองสู่มาตรฐานวิชาชีพระดับสูงอย่างแท้จริง
เมื่อวันที่ 29–30 ตุลาคม 2568 ณ โรงแรมอีสติน แกรนด์

